Week 4- Medical Technology and Art

        On thing that I have not has a lack of in my life time has been injuries. And with these injuries have come lots of tests including x-rays, MRIs, CT Scans, and likely others I was not even aware of. 
 

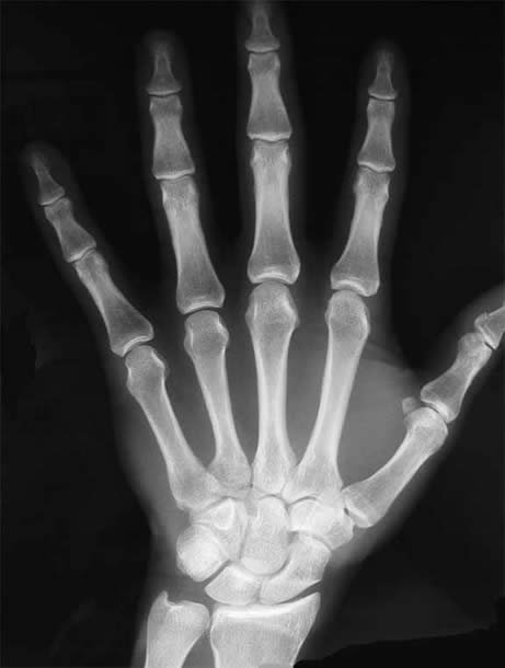
My first memory of such tests was an x-ray I had taken of my wrist after a hockey accident. As explained in the lecture, Rontegen’s early testing paved the way for doctors to have the ability to see my hand without actually making an incision. The thing that stuck with me more however was when Professor Vesna described Rontegen’s wife’s reaction to seeing her X-Ray, which was, “I can see my death”.
When skin is removed, the
bone is all our hand is left with
While I’ve looked at pictures of x-rays probably hundreds of times, never before had I considered it a preview of what was to come in life. 
 

       While X-rays was my first memory of medical technology, it was certainly not my most striking. That title belongs squarely in the corner of the CT Scan. During a check for a tumor in my brain, I was given the the opportunity to have a radiologist show me certain diagrams of the inside of my skull. The whole time she was talking, all I could think about was how incredible it was. How so much information could be stored in something so neatly packaged, almost in an indescribable, beautiful manner. 
Depiction of all the neuroscience
of the brain
As Diana Gromala stated during her podcasts, images of ones own body “evokes really intense visceral response”.  


To me, all of this is a reminder of Leonardo DaVinci’s “Vitruvian Man”. A combination of art and science. Beauty not just on the outside of the body, but the inside as well. A creation that is near impossible to duplicate.  If there’s one thing I remember from 5th grade science class, it’s that image of the man with his arms spread, and in some ways, depicting the introduction to the combination of human
anatomy, medical technology, and art as we know it today.


Works Cited: 
Bulgerov, Vitaly. "Robo Cop (2014)." Art of Vitaly Bulgarov. MGM Sony Pictures, 2014. Web. 01 May 2017.

Kac, Eduardo. "NATURAL HISTORY OF THE ENIGMA." NATURAL HISTORY OF THE ENIGMA. N.p., 2009. Web. 01 May 2017.

"Leonardo's Vitruvian Man." The Vitruvian Man. History.com, Apr. 2012. Web. 01 May 2017.

UCLA. Bodies© INCorporated. N.p., 2016. Web. 01 May 2017.

Verstappen, Maria, and Erwin Driessens. "Driessens & Verstappen." NotNot. N.p., 2010. Web. 27 Apr. 2017.

Comments

  1. I too wrote about X-Rays, but took a different perspective. I did not look at it as you did, being able to see what the ultimate future holds for us. I agree that beauty is on both the inside and outside of the body. The organs we have and other parts inside of us that keep us alive are all artistic as well! Although another thing i wrote about with x-rays is how we all look the same in them, therefore it really makes you think about the perspective of beauty. Great post!

    ReplyDelete

Post a Comment

Popular posts from this blog

Extra Credit Event 1- ArtSci LASER

Extra Credit Event 2- Griffith Observatory

Week 1- Two Cultures